Dra. Marta Santos Silva


A escoliose é uma deformidade da coluna vertebral que resulta numa curvatura lateral anormal, que pode aparecer em forma de "S" ou "C". Esta condição é mais comum durante o pico de crescimento antes da puberdade, mas pode afetar adultos também, devido ao desgaste da coluna ou a condições neuromusculares.
Ombros desiguais, com um ombro visivelmente mais alto do que o outro.
Cintura irregular ou um quadril mais elevado.
Aparência de inclinação no tronco.
Em casos graves, a curvatura pode causar dor nas costas e fadiga, devido à pressão sobre os discos da coluna vertebral, músculos e ligamentos.
Dificuldades respiratórias, se a curvatura afetar a área torácica e restringir a capacidade pulmonar.
Condições neuromusculares, como paralisia cerebral ou distrofia muscular.
Malformações congénitas, que afetam o desenvolvimento dos ossos da coluna.
Lesões ou infecções da coluna.
Condições genéticas que afetam o desenvolvimento dos tecidos conectivos.
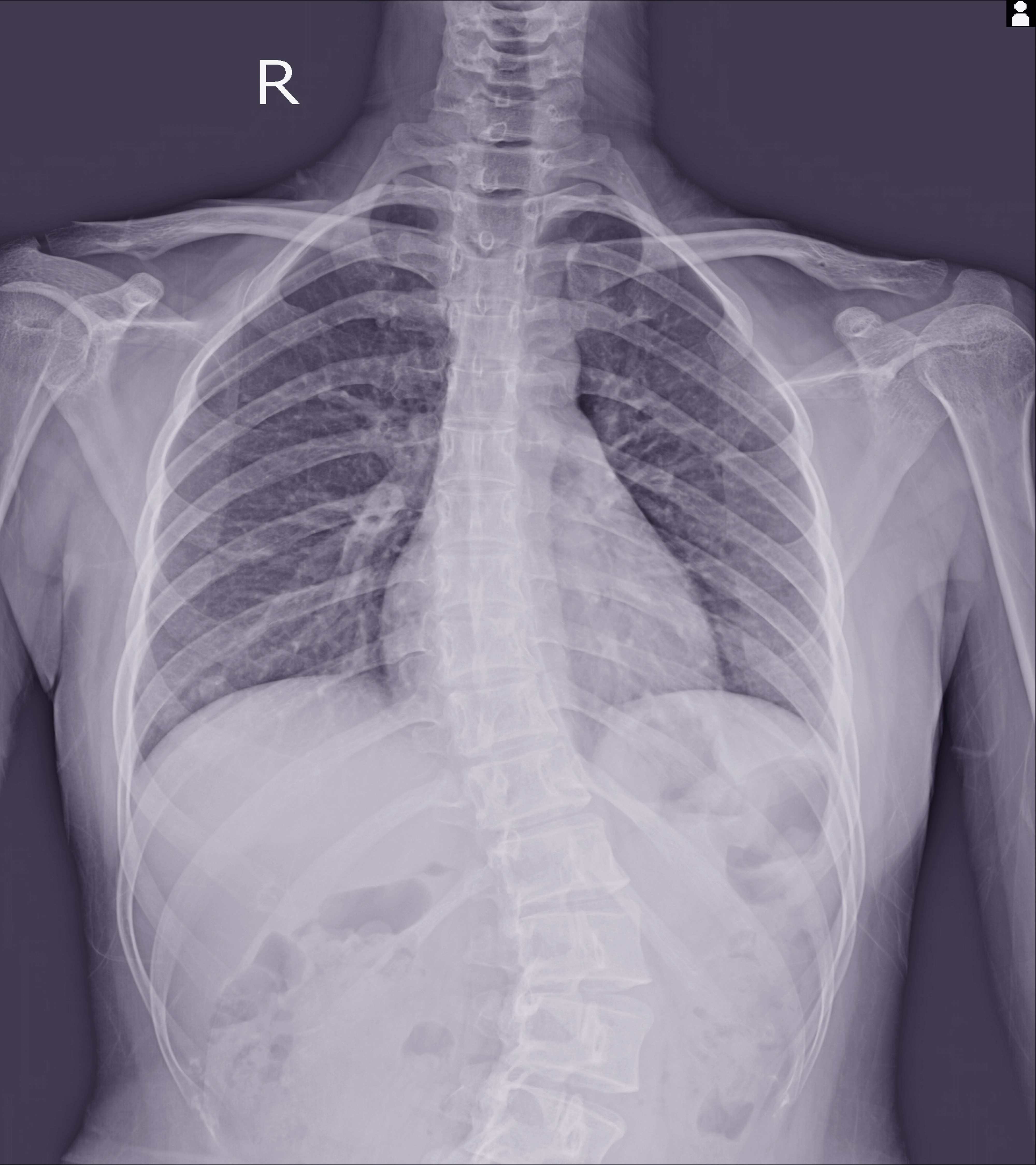
Exame físico para observar a curvatura da coluna, a simetria do corpo e quaisquer sinais visíveis de escoliose.
Radiografias da coluna inteira, que ajudam a determinar o ângulo e a gravidade da curvatura, conhecido como ângulo de Cobb.
Observação: Em casos leves, especialmente em crianças que ainda estão crescendo, o acompanhamento regular com radiografias pode ser tudo o que é necessário para monitorar a progressão da curvatura.
Correção não cirúrgica: Para curvaturas moderadas, especialmente em crianças e adolescentes, o uso de um colete ortopédico pode ajudar a prevenir o agravamento da condição.
Fisioterapia: Exercícios específicos podem ajudar a fortalecer os músculos da coluna e melhorar a postura.
Cirurgia: Em casos graves ou quando a curvatura continua a piorar significativamente, procedimentos cirúrgicos como a fusão vertebral podem ser recomendados para corrigir a curvatura e estabilizar a coluna.
Embora a prevenção da escoliose não seja sempre possível, especialmente nos casos idiopáticos, uma detecção e intervenção precoces são fundamentais para gerir a condição eficazmente e minimizar as suas consequências.
Dor crônica e rigidez.
Problemas respiratórios e cardiovasculares em casos de deformidade torácica significativa.
Diminuição da qualidade de vida devido a limitações físicas e estéticas.
Sim, especialmente se não tratada durante a adolescência, a escoliose pode progredir com o tempo, especialmente se a curvatura inicial é significativa.
A intervenção precoce é essencial para obter os melhores resultados.
O diagnóstico precoce e um tratamento personalizado são fundamentais para uma gestão dos sintomas.
Para mais informações ou agendar consulta entre em contacto com o Grupo OrtoCentro.
Tel.
*Chamada Rede fixa Nacional
Uma equipa diferenciada e experiente

Para obter apoio com a sua marcação ou solicitar mais informações, contacte-nos por telefone ou e-mail: [email protected]
Entrar em contacto
© 2025 Grupo Ortocentro | Todos os Direitos Reservados
© 2025 Grupo Ortocentro
Todos os Direitos Reservados
Powered by pointfull.